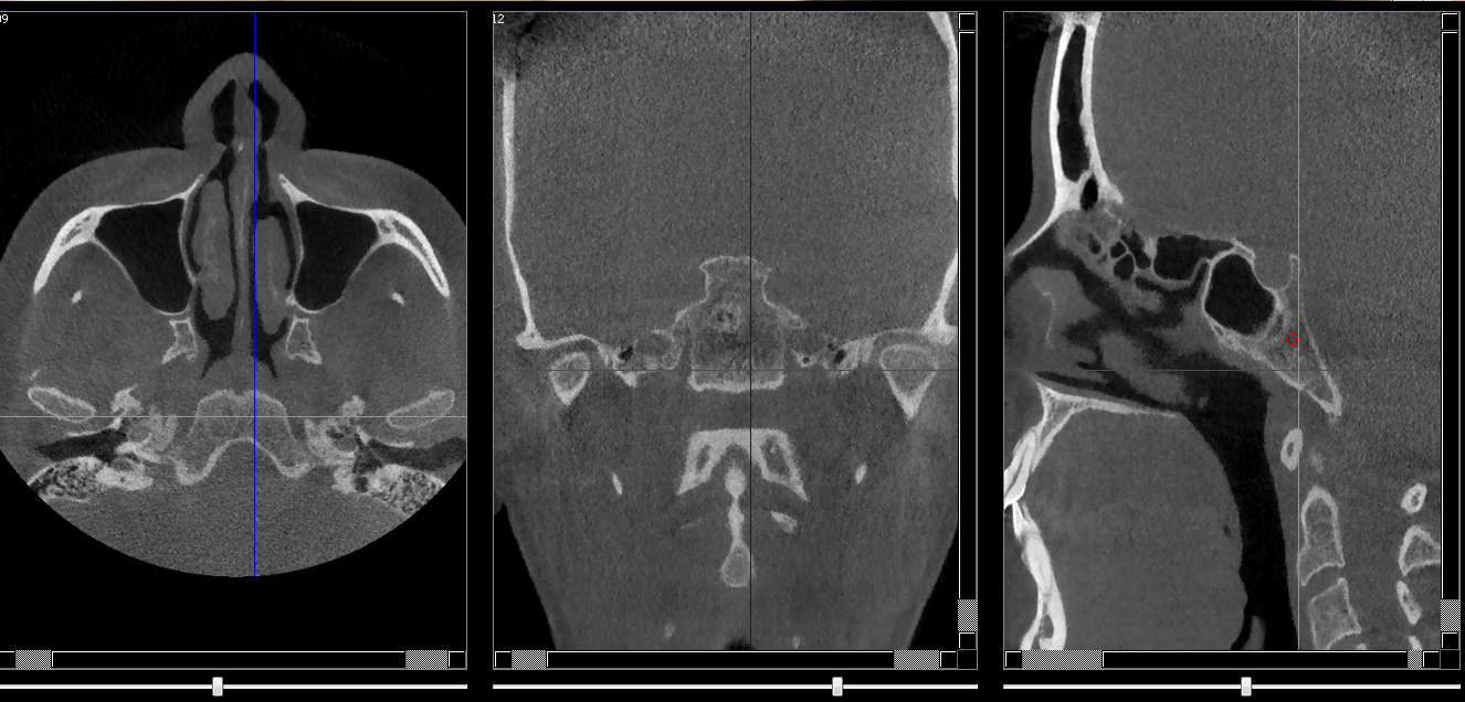
Structures osseuses
Clivus
Repères anatomiques
- Coupe transversale
- Début : Base des condyles
- Fin : Sinus sphénoide
- Coupe frontale
- Début : Sinus sphénoide
- Fin : Méat acoustique externe
- Coupe saggitale
- Début : Epine de l'os sphénoide droit
- Fin : Epine de l'os sphénoide gauche
Infos sur l'image
- Auteur : Pr Bourzgui
- Co-auteur : Dr Makoure
- Affiliation : Orthopédie dento-faciale
- Date production : 2019

