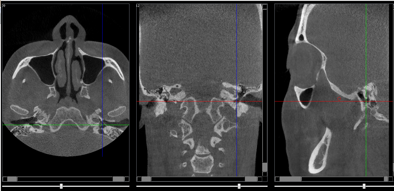
Structures osseuses
Méat acoustique interne
Repères anatomiques
- Coupe transversale
- Début : Partie inf de la grande aile du sphénoide
- Fin : Epine ded l'os sphénoide
- Coupe frontale
- Début : Cellules mastoides
- Fin : Clivus
- Coupe saggitale
- Début : Cochlea
- Fin : Méat acoustique externe
Infos sur l'image
- Auteur : Pr Bourzgui
- Co-auteur : Dr Makoure
- Affiliation : Orthopédie dento-faciale
- Date production : 2019

