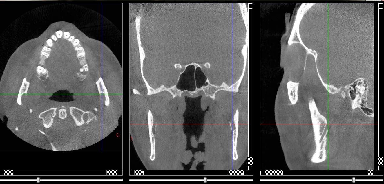
Structures osseuses

Canal alvéolaire inférieure (entrée du nai)

Repères anatomiques

    Coupe transversale
  • Début      : Il rentre par la face interne du ramus vers épine de spix en cheminant à l'intérieur de la branche horizontale pour sortir du foramen mentonier
  • Fin             :
    Coupe frontale
  • Début      :
  • Fin             :
    Coupe saggitale
  • Début      :
  • Fin             :

Infos sur l'image

  • Auteur                     : Pr Bourzgui
  • Co-auteur               : Dr Makoure
  • Affiliation                : Orthopédie dento-faciale
  • Date production  : 2019