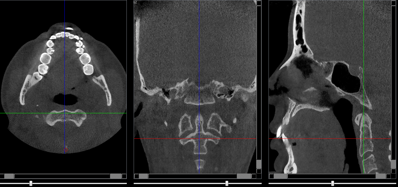
Structures osseuses
Arc antérieur de C1
Repères anatomiques
- Coupe transversale
- Début : Clivus
- Fin : ARC C2
- Coupe frontale
- Début : Partie post du sinus sphénoide
- Fin : Partie post du clivus
- Coupe saggitale
- Début : Processus clinoide droit
- Fin : Processus clinoide gauche
Infos sur l'image
- Auteur : Pr Bourzgui
- Co-auteur : Dr Makoure
- Affiliation : Orthopédie dento-faciale
- Date production : 2019

