Structures osseuses
Partie horizontale de léthmoïde
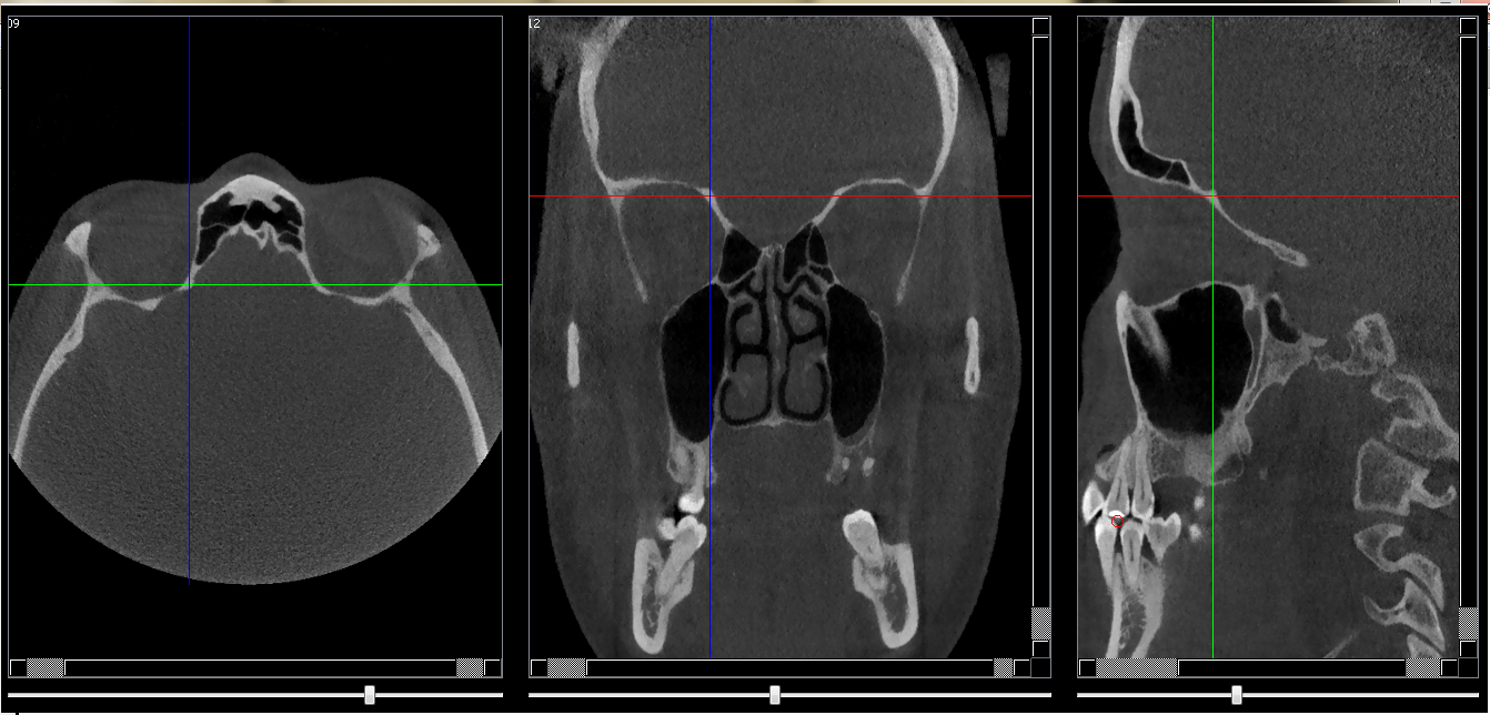
Repères anatomiques
- Coupe transversale
- Début : Fissure orbitaire sup
- Fin : Plafond de l'orbite
- Coupe frontale
- Début : Sinus frontal
- Fin : Sinus sphénoide
- Coupe saggitale
- Début : Plafonde de l'orbite
- Fin : Paroi latérale de la fissure orbitaire sup
Infos sur l'image
- Auteur : Pr Bourzgui
- Co-auteur : Dr Makoure
- Affiliation : Orthopédie dento-faciale
- Date production : 2019

