Structures osseuses

sinus maxillaire

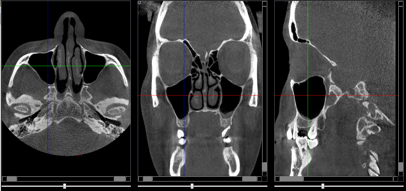
Repères anatomiques

    Coupe transversale
  • Début      : Procès alvéolaire des dents antrales
  • Fin             : Plancher des orbites
    Coupe frontale
  • Début      : Derriére la partie cutanée des joues
  • Fin             : Corps du sphénoide
    Coupe saggitale
  • Début      : Processus zygomatique
  • Fin             : Début du cornet nasal inf et moy

Infos sur l'image

  • Auteur                     : Pr Bourzgui
  • Co-auteur               : Dr Makoure
  • Affiliation                : Orthopédie dento-faciale
  • Date production  : 2019