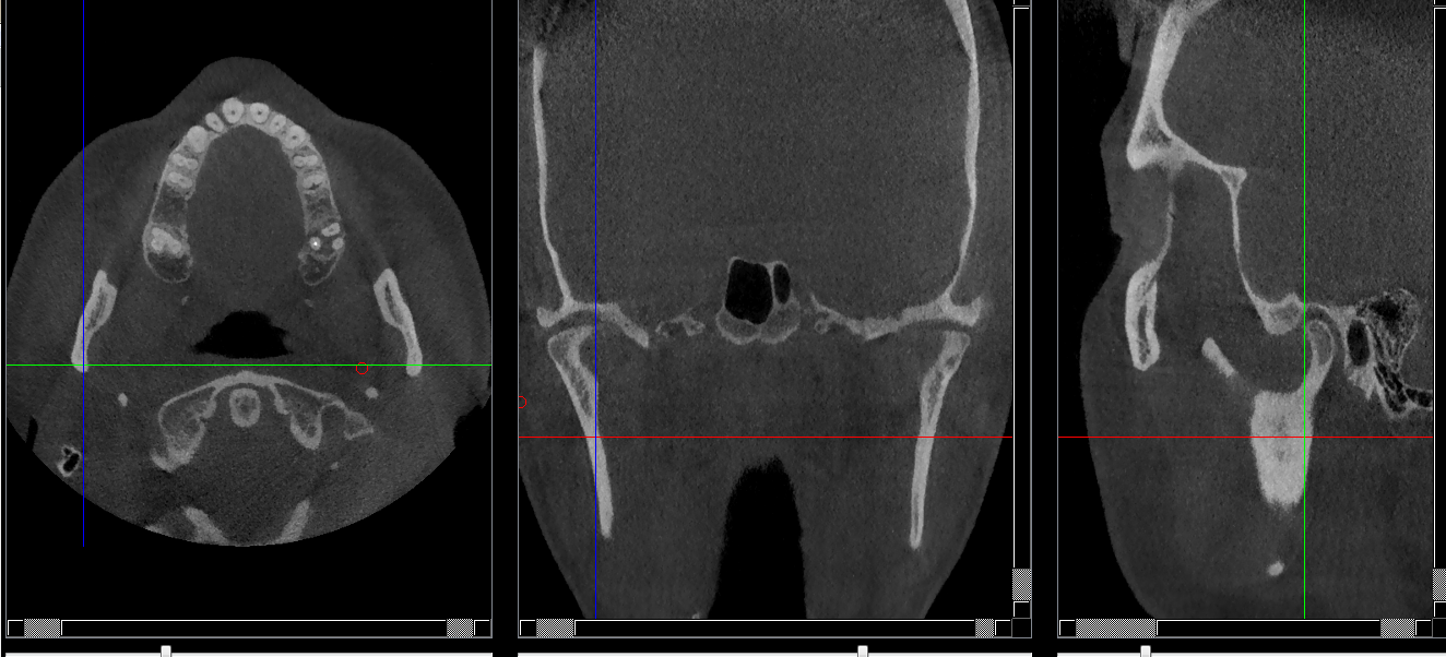
Structures osseuses
Ramus
Repères anatomiques
- Coupe transversale
- Début : Branche horizontale
- Fin : Condyle
- Coupe frontale
- Début : La lame criblée de l'éthmoide
- Fin : Condyle
- Coupe saggitale
- Début : Processus zygomatique
- Fin : La grande aile du sphénoide
Infos sur l'image
- Auteur : Pr Bourzgui
- Co-auteur : Dr Makoure
- Affiliation : Orthopédie dento-faciale
- Date production : 2019

