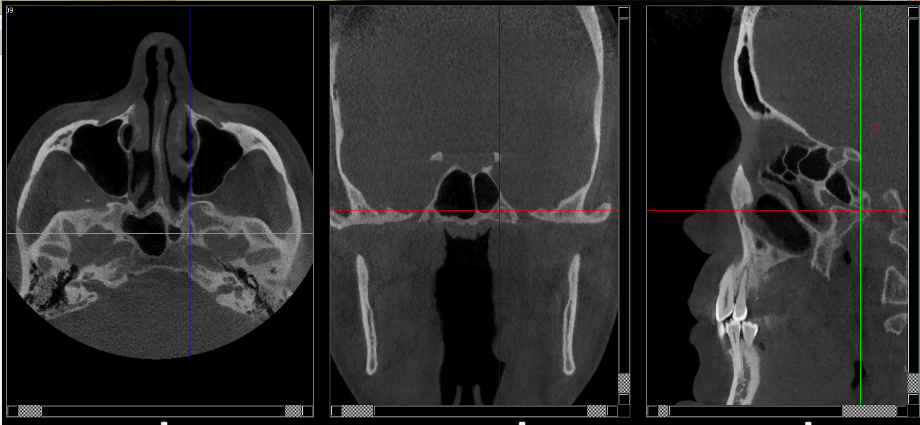
Structures osseuses
Foramen rotundum
Repères anatomiques
- Coupe transversale
- Début : Grande aile du sphénoide
- Fin : Sinus sphénoide
- Coupe frontale
- Début : Sinus sphénoide
- Fin : Clivus
- Coupe saggitale
- Début : Côté droit du processus clinoide
- Fin : Côté gauche du processus clinoide
Infos sur l'image
- Auteur : Pr Bourzgui
- Co-auteur : Dr Makoure
- Affiliation : Orthopédie dento-faciale
- Date production : 2019

