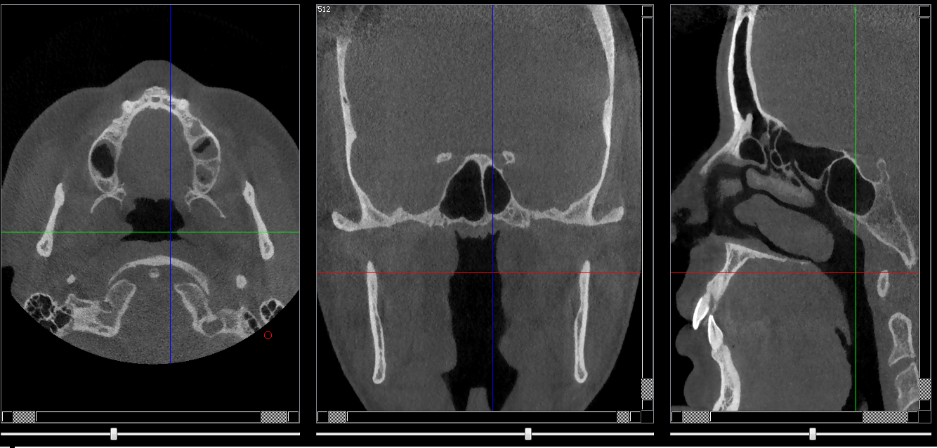
Structures osseuses
Oro-pharynx
Repères anatomiques
- Coupe transversale
- Début : Rhinopharynx
- Fin : clivus
- Coupe frontale
- Début : Partie post du palais dur
- Fin : Clivus
- Coupe saggitale
- Début : Processus clinoide droit
- Fin : Processus clinoide gauche
Infos sur l'image
- Auteur : Pr Bourzgui
- Co-auteur : Dr Makoure
- Affiliation : Orthopédie dento-faciale
- Date production : 2019

