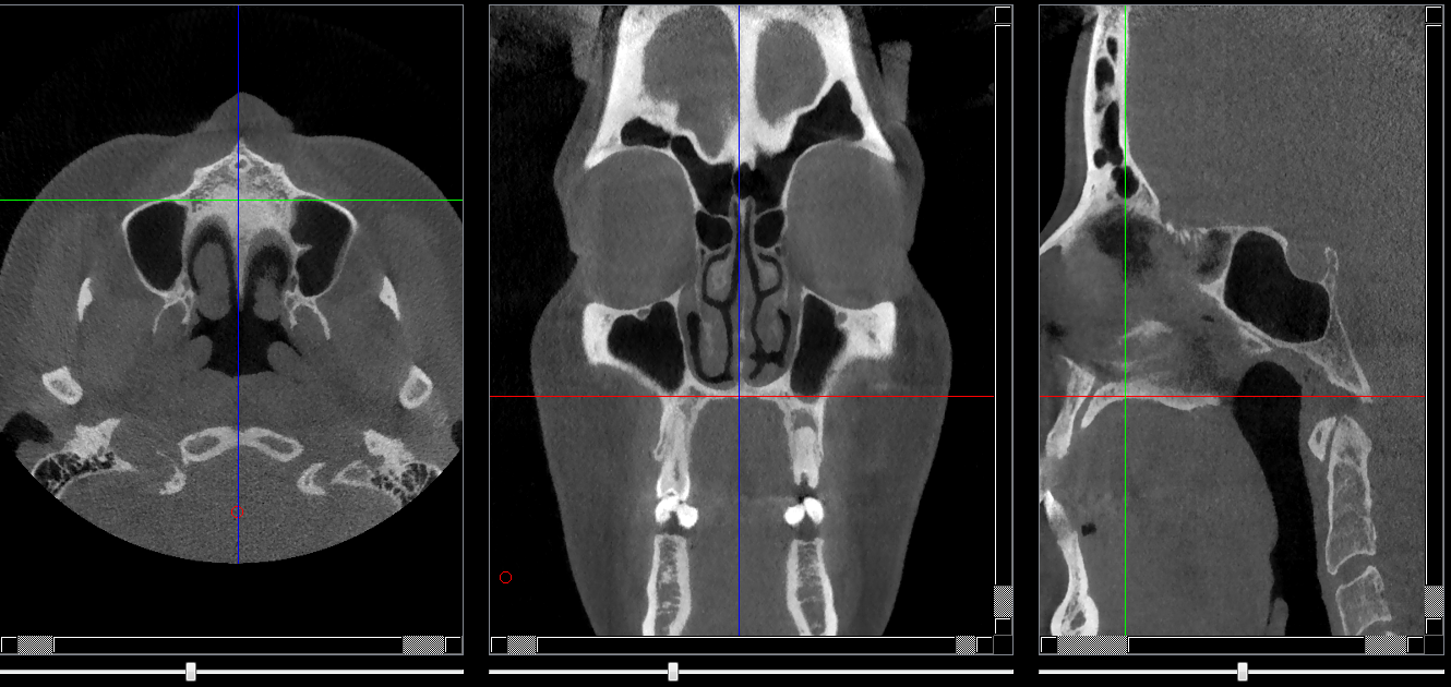
Structures osseuses
Palais dur
Repères anatomiques
- Coupe transversale
- Début : Procès alvéolaire sup
- Fin : cornet nasal inf
- Coupe frontale
- Début : Procès alvéolaire ant
- Fin : Oro-pharynx
- Coupe saggitale
- Début : Procès alvéolaires du secteur droit
- Fin : Procès aléolaire du secteur gauche
Infos sur l'image
- Auteur : Pr Bourzgui
- Co-auteur : Dr Makoure
- Affiliation : Orthopédie dento-faciale
- Date production : 2019

