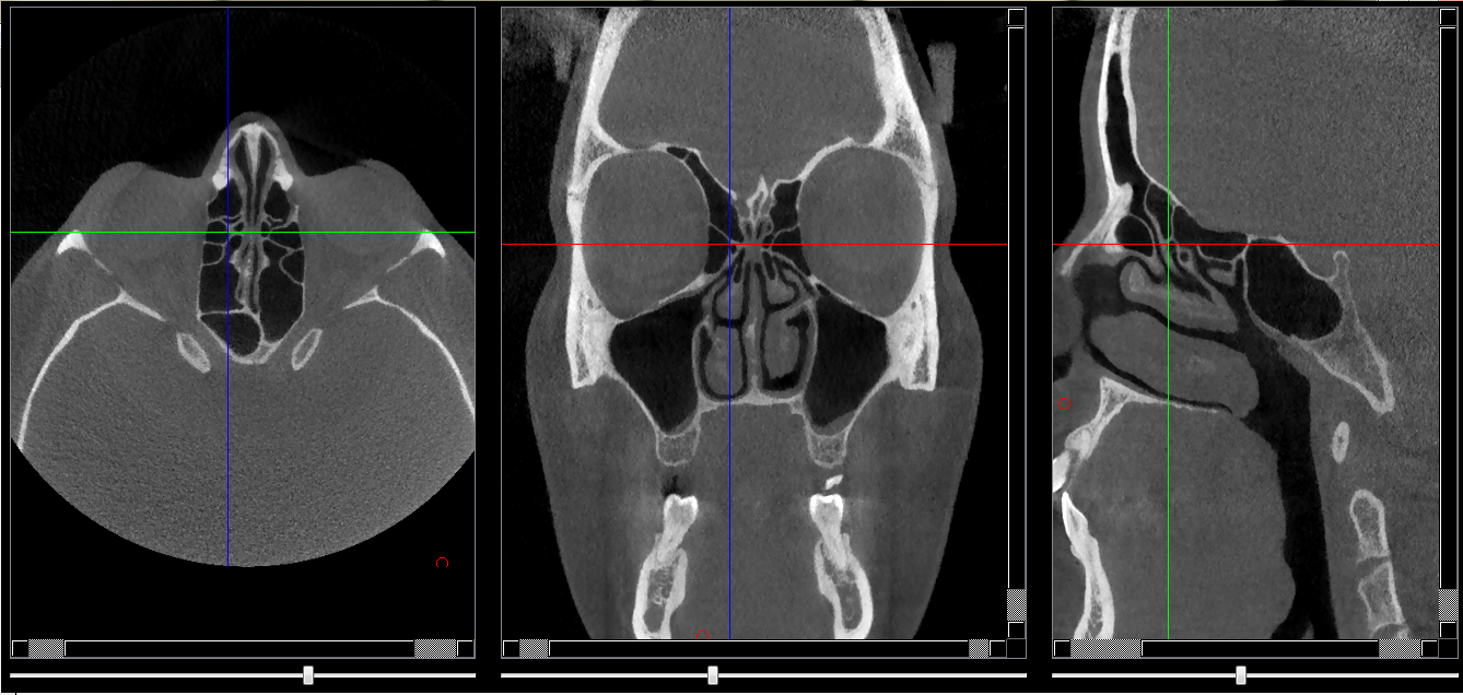
Structures osseuses
Cornet nasal sup
Repères anatomiques
- Coupe transversale
- Début : Cornet nasal moy
- Fin : Fissure orbitaire sup
- Coupe frontale
- Début : Os nasale
- Fin : Sinus sphénoide
- Coupe saggitale
- Début : Paroi interne de l'orbite
- Fin : Crista galli
Infos sur l'image
- Auteur : Pr Bourzgui
- Co-auteur : Dr Makoure
- Affiliation : Orthopédie dento-faciale
- Date production : 2019

