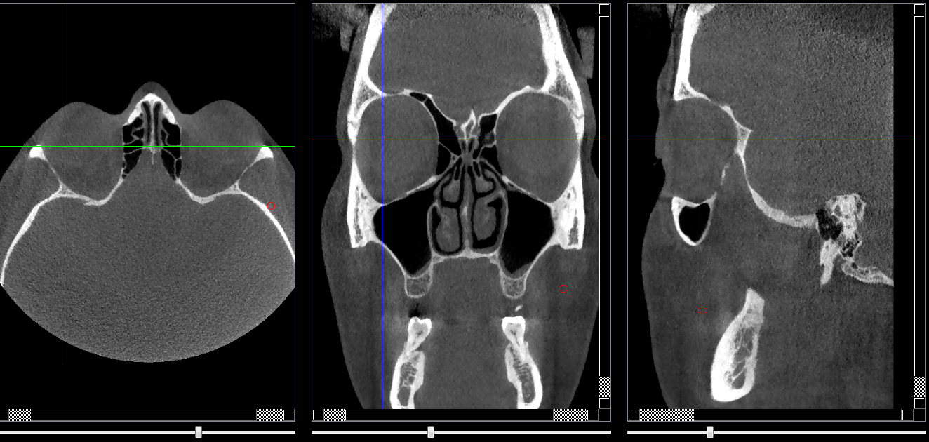
Structures osseuses
Globe oculaire
Repères anatomiques
- Coupe transversale
- Début : grande aile du sphénoide
- Fin : Base du crane
- Coupe frontale
- Début : Cornet nasal sup
- Fin : Début du sinus sphénoide
- Coupe saggitale
- Début : Processus frontal
- Fin : Cornet nasal
Infos sur l'image
- Auteur : Pr Bourzgui
- Co-auteur : Dr Makoure
- Affiliation : Orthopédie dento-faciale
- Date production : 2019

